Skip to main content
  1. Methods/

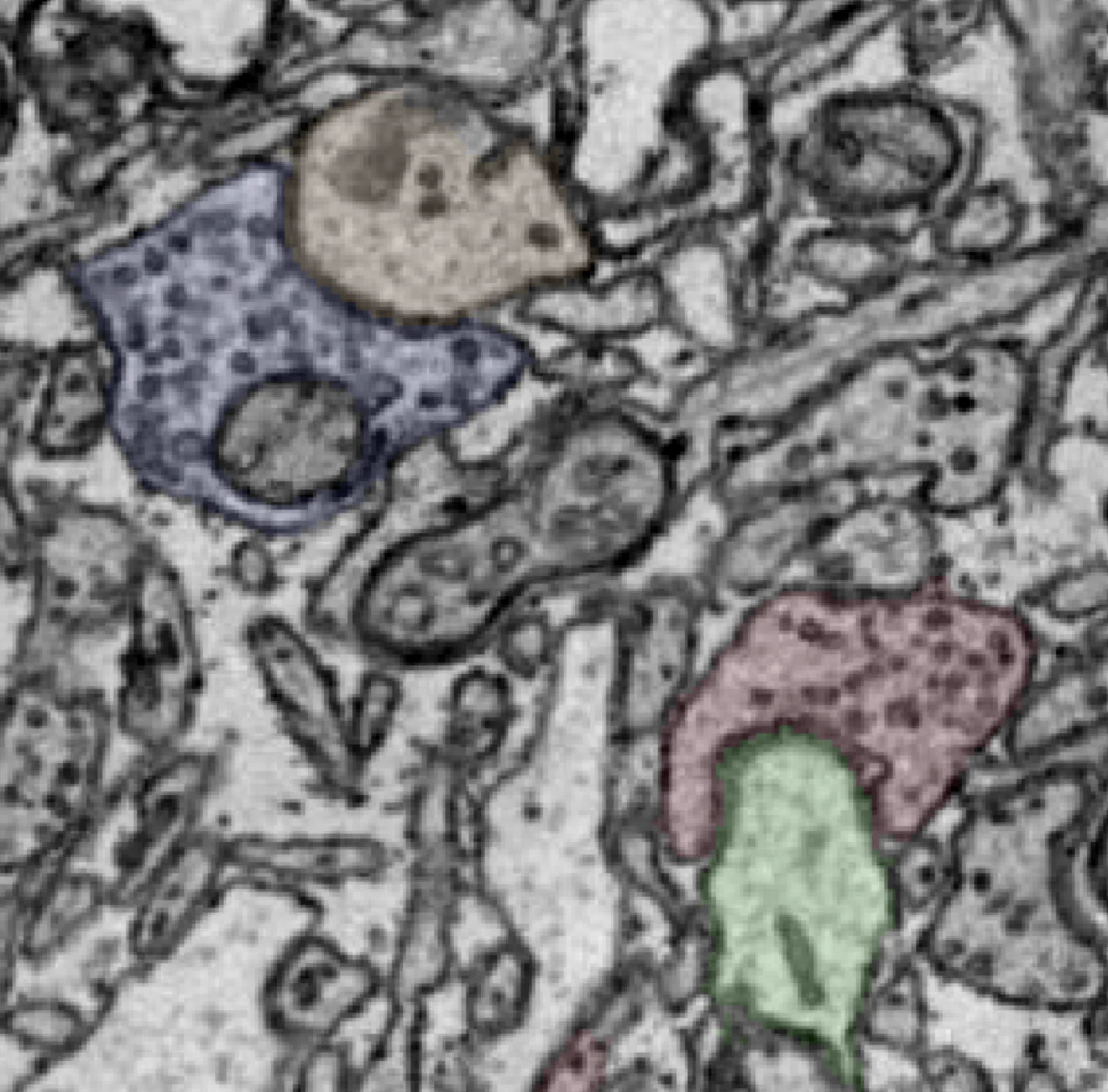
Connectomics

Synaptic resolution….

Project team
#

Sophie Aimon Sophie Aimon Postdoctoral Researcher
Meha Jadhav Meha Jadhav Postdoctoral Researcher
Roberto Garza Roberto Garza PhD Student
Nele Holstegge Nele Holstegge Master Student

Further reading
#

  • Boulanger-Weill J., Kämpf F., Schuhknecht G. F. P., Schalek R. L., Petkova M., Vohra S. K., Wu Y., Savaliya J. H., Tiller R., Herrera K. J., Naumann H., Eberle M., Rencken S., Stingl M., Hebling A., Hockling D., Slangewal K., Deng Z., Wang R. C., Zhang L. L., Kirchberger K. N., Bianco I. H., Baum D., Bene F. D., Engert F., Lichtman J. W., Bahl A. (2025) Correlative light and electron microscopy reveals the fine circuit structure underlying evidence accumulation in larval zebrafish. bioRxiv. https://doi.org/10.1101/2025.03.14.643363